推荐》Sungai Besi·最好的洗牙诊所3家, 医生/治疗师17位 · 价格资讯

最后更新:2026 四月
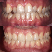
英文称:Teeth Scaling and Polishing

寻找Sungai Besi一带价钱公道而且服务好的洗牙?

Erufu Care 作为一个相互支援医疗资讯的社区平台,我们尽可能收集和涵盖各种医疗验证的洗牙类服务的资讯,比如来自社区平台的用户或患者的各种治疗体验,和是否推荐等等,尤其是位于Sungai Besi的洗牙。

至今,洗牙相关的资讯已经被社区里的大家查询了超过 117,736 次,以下也是大家常常想要知道的:

  • 在为洗牙做预算并需要一些指导吗?
  • 想要了解更多关于洗牙的合理效果?
洗牙

彻底清洁并去除牙齿上不能通过刷牙而去除的斑块和牙垢的痕迹。

洗牙 用于治疗以下疾病或病症:齿斑块, 牙齿染色, 蛀牙, 牙齿损伤, 牙齿感染, 牙结石

+ More about 洗牙

在众多家提供 洗牙的医疗诊所中,还有那么多在 Sungai Besi提供的不同治疗选项,我们怎样才能找到最合适自己的呢?

Erufu Care 作为一个社区医疗服务平台,我们以各个患者的医疗体验、评论分享等作为基础考量,再为你搜索并整理列出位于 Sungai Besi一带有提供洗牙的医疗诊所。 希望可以帮助第一次接受疗程的你。

在以下的3家医疗医疗诊所里,你可以查看:

  • 牙医的医疗专业资格。
  • 各个患者已在医疗医疗诊所接受了洗牙服务的医疗体验和评论分享。
  • Sungai Besi医疗医疗诊所的地点以及交通状况。
  • 医疗医疗诊所的营业时间和预先安排好预约的详情。
  • 医疗医疗诊所提供的洗牙服务。
  • Sungai Besi的洗牙服务的价格。

我们已为您整理列出位于Sungai Besi一带的诊所和经过马来西亚卫生部 (MOH)的批准以及Erufu Care团队验证的牙医。Kuchai Lama, Happy Garden, Sri Petaling, Mid Valley City, Taman OUG和其他靠近Sungai Besi的地区都有 医疗诊所,立即点击查看哪一家诊所是适合您的需求吧。

  • 3总共洗牙治疗诊所
  • 平均评级 5 / 5
  • 618 个核实评论

只需点击以下任何诊所即可查看治疗方案和价格指南,同时阅读患者的评论,查看照片。甚至可以向诊所发送信息哦。 以下排名不分先后

您的大概位置: - 根据您的互联网地址 计算精确的位置

显示 1 - 3(3)

如果您是一名医生牙医,或其他医疗保健业者,且有兴趣在 Erufu Care 列出您的诊所、服务,以及专页履历,我们非常乐意为您提供帮助。请点击这里填写您的详细资料:欢迎加入我们的医疗援助网络,我们会尽快与您联系。

我们认为良好的医患关系与有效的沟通才能为患者带来优质的医疗体验。我们将竭尽所能帮助您。 阅读我们如何收集和验证我们的评论:评论政策